【診療科目】>腎臓病センター(泌尿器科)> 尿管膀胱新吻合術(猫の会陰尿道造瘻術)
尿道の狭窄や閉塞、損傷によって正常な排尿が困難な猫に対し、尿の排出経路を新たに作る外科手術です。特に尿道の狭窄や閉塞が重度の場合に行われます。 当院の術式では、ねこちゃんの包皮の粘膜部分を筒状に形成し、狭くなった尿道口に縫い合わせて新しい尿道出口を作ります。包皮粘膜は尿道粘膜に近い性質を持つため、排尿機能の回復が期待でき、尿路の通過も良好です。
尿道のトラブルでお困りの際は、早めの診断・治療が大切です。 当院では経験豊富な獣医師が、ねこちゃんに負担の少ない適切な手術を提供しています
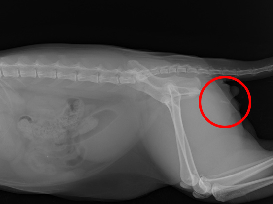
血尿の症状を主訴に来院された猫ちゃんの超音波検査を行ったところ、膀胱内に1mmほどの細かい結石が無数に存在していることが確認されました。 その後、2週間ほど経過した段階で再診したところ、今度は尿道の中にも無数の小さな結石が詰まり始めており、不完全閉塞と考えられる状態に。 排尿時の強い痛み(疼痛反応)も見られたため、今後さらに閉塞が悪化するリスクが高いと判断しました。 そのため、オーナー様とよくご相談のうえ、再発や閉塞を防ぐ目的で「会陰尿道造瘻術(えいんにょうどうぞうろうじゅつ)」を実施しました。 手術後の経過は非常に良好で、翌日には元気に退院されました。 現在、術後半年が経過しましたが、血尿や尿道閉塞の再発は見られておらず、快適な排尿が続いています。

レントゲンにて尿道内の石の位置を確認(赤丸)

手術中の体位

手術中の様子

手術中の様子

手術中の様子

カテーテルが入ることを確認

包皮の粘膜部分を筒状に形成

術創
『傷』が小さく、『痛み』が少ない手術・検査ができます!!
内視鏡外科(低侵襲)を希望のかたは東京どうぶつ低侵襲医療センター・王子ペットクリニックに相談ください。
獣医師、看護師の方の見学受付中
セカンドオピニオンや日常のご相談まで幅広く対応。
飼い主様のニーズに応えるため、当院ではオンライン診療を行っています。
初めての飼い主様には、セカンドオピニオンや受診に迷った際のご相談を、かかりつけの飼い主様には、検査結果や治療・お薬、お世話に関する不安などに対応しています。
登録は無料ですので、ぜひお気軽にご利用ください。
Contact
| 診療時間 | 月 | 火 | 水 | 木 | 金 | 土 | 日 | 祝 |
|---|---|---|---|---|---|---|---|---|
| 9:00~12:00 通常診療 |
○ | 予 | ○ | ○ | ○ | ○ | ○ | ○ |
| 12:00~16:00 予約診療・手術 |
○ | 予 | ○ | ○ | ○ | ○ | ○ | ○ |
|
16:00~19:00 通常診療 ※土日は 15:30~18:00 |
○ | 予 | ○ | 猫 | ○ | ○ | ○ | ○ |
【獣医師指名について】
AM 11:30まで
PM 18:00まで