鼻腔・鼻咽頭内に異物が入ると、以下のような症状が見られることがあります
鼻腔・鼻咽頭内異物の診断には、視診のほかにレントゲン検査や内視鏡検査が行われることがあります。 異物が確認された場合は、鎮静または全身麻酔のもとで安全に取り除く処置を行います。 放置しておくと慢性的な鼻炎や膿性鼻汁、呼吸障害の原因になるため、できるだけ早めの受診をおすすめします。
「なんだか様子がおかしいな」「鼻水が片方だけずっと続いている」といった場合は、お早めにご相談ください。
些細に見える症状でも、わんちゃん・ねこちゃんに大きなストレスや不快感につながっていることがあります。
大切な家族であるわんちゃん・ねこちゃんが健康で快適に過ごせるよう、私たちが全力でサポートいたします。
当院受診の3日前より、黄色い液体を5?6回連続で嘔吐し、その後より鼻出血および両側鼻腔の通気性低下が認められたとのことで、まず他院を受診されました。 その際に実施されたレントゲン検査では明らかな異常は認められなかったとのことです。 当院にて再度胸部および頭部のレントゲン検査を実施したところ、呼気時における咽喉頭部の一過性の拡張所見が認められましたが、骨の破壊などの明らかな構造的異常は確認されませんでした。 症状の急性発症であること、ならびに鼻閉および鼻出血を伴うことから、鼻腔・鼻咽頭内の異物の存在を強く疑い、同日にCT検査および内視鏡検査を実施しました。 検査の結果、鼻腔から鼻咽頭内にかけて毛玉と思われる異物を認めたため摘出を行ったところ、呼吸状態や全身状態は速やかに改善し、当日中に退院となりました。 その後の経過も良好で、現在までに1年が経過していますが、症状の再発は認められていません。

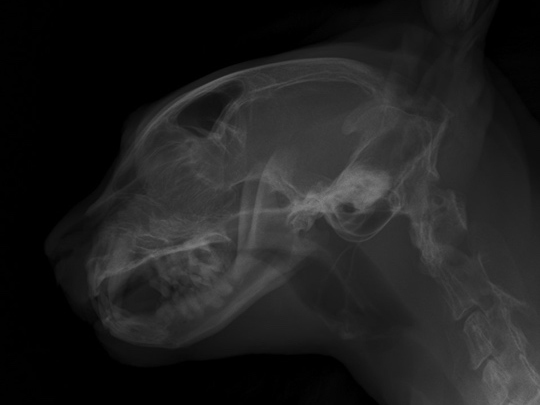
レントゲン画像で骨破壊等を評価

左・下:CT検査にて腫瘍性疾患の否定

鼻咽頭内視鏡検査

鼻咽頭内視鏡検査

鼻腔内視鏡検査の様子

鼻腔内視鏡検査の様子

鼻腔洗浄の様子

摘出した鼻水

摘出した異物(毛玉)
数日前に散歩後より急性の鼻炎症状および鼻出血が認められ、鼻腔内異物の存在を強く疑いました。 精査のためにレントゲン検査およびCT検査を実施し、鼻腔内異物および歯根膿瘍の疑いが示されました。 その後、鼻腔内視鏡を用いて異物の摘出および関連する抜歯を実施しました。
CT検査を実施し腫瘍性疾患を否定

内視鏡検査の様子

内視鏡検査の様子

内視鏡での鼻腔内の様子

摘出した異物

摘出した異物
『傷』が小さく、『痛み』が少ない手術・検査ができます!!
内視鏡外科(低侵襲)を希望のかたは東京どうぶつ低侵襲医療センター・王子ペットクリニックに相談ください。
獣医師、看護師の方の見学受付中
セカンドオピニオンや日常のご相談まで幅広く対応。
飼い主様のニーズに応えるため、当院ではオンライン診療を行っています。
初めての飼い主様には、セカンドオピニオンや受診に迷った際のご相談を、かかりつけの飼い主様には、検査結果や治療・お薬、お世話に関する不安などに対応しています。
登録は無料ですので、ぜひお気軽にご利用ください。
Contact
| 診療時間 | 月 | 火 | 水 | 木 | 金 | 土 | 日 | 祝 |
|---|---|---|---|---|---|---|---|---|
| 9:00~12:00 通常診療 |
○ | 予 | ○ | ○ | ○ | ○ | ○ | ○ |
| 12:00~16:00 予約診療・手術 |
○ | 予 | ○ | ○ | ○ | ○ | ○ | ○ |
|
16:00~19:00 通常診療 ※土日は 15:30~18:00 |
○ | 予 | ○ | 猫 | ○ | ○ | ○ | ○ |
【獣医師指名について】
AM 11:30まで
PM 18:00まで