



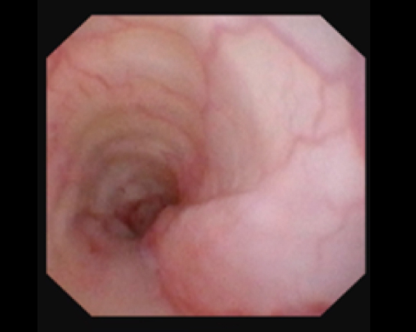
内視鏡で狭窄部位を確認

Cアームを用いたバルーン拡張術

拡張後の鼻咽頭部

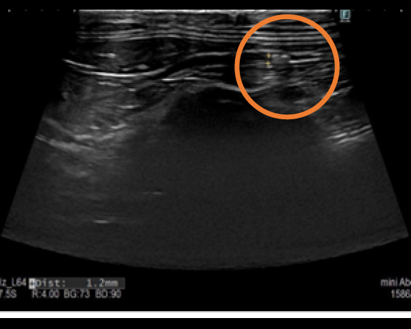
超音波にて結石を確認

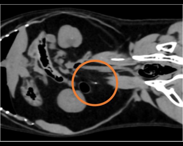
無麻酔CT検査にて結石の個数を確認

手術に0.4mm結石を摘出

無麻酔CT検査にて異物の確定

開腹手術にて異物摘出

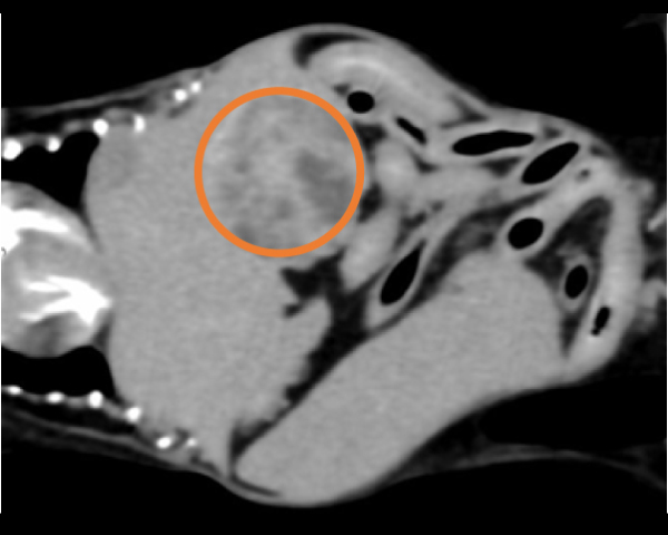
造影CT検査にて腫瘤の浸潤を評価

開腹手術にて腫瘤を摘出

超音波にて副腎腫瘤を確認

造影CT検査にて腫瘤の浸潤を評価

腹腔鏡を用いた副腎腫瘍摘出術

腹腔鏡を用いた副腎腫瘍摘出術

造影CT検査にて腫瘤の浸潤・転移を評価

脾臓の多発性吸収結節像を確認

リトラクターリングを用いてアポクリン腺癌の摘出

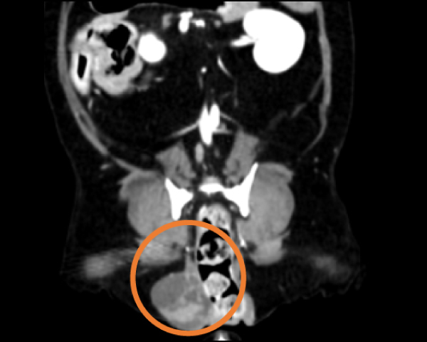
右仙骨リンパ節の郭清術

脾臓摘出を同日実施

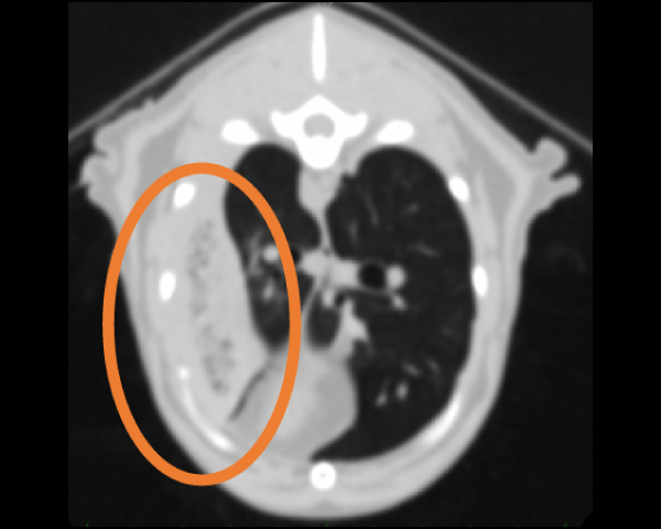
CT検査にて肺野のマイクロバブル所見

エンドGIAを用いた肺葉切除

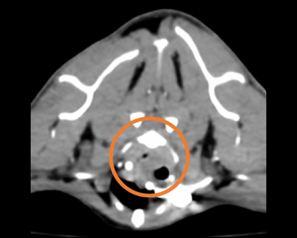
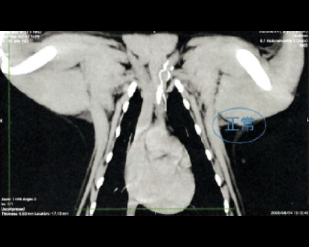
CT検査にて気管の圧迫を確認

内視鏡の位置をCアームで確認し正確に場所の把握が可能

2.8mmと5mmの内視鏡を用いて気管と食道両方の観察・生検が同時に実施可能



エコー検査によるエラストグラフィー検査で肝臓の硬結度を測定します

その後造影CT検査を行い、血管の評価を行います。

この症例の血管のCT画像



最後に腹腔鏡を用いて肝臓を生検し、病理診断へ






胸腔鏡で覗くと胸管がキレイに見えます(黒矢印)。
これを鉗子で丁寧に剥離していきます



反対側も同じように剥離していきます。
必ず、反対側の胸管も確認できるところまで剥離します。(黒矢印)

反対側もクリップ3-4本止めて、結紮します。
これで胸管結紮は終了です

心膜切除も行っていきます。
心膜の一部を吊り上げて心膜と心臓の間にスペースを作ります

心膜の一部を切開して超音波メスで剥離していきます。

心臓の周りの剥離を進めていきます。

心膜を剥離し終わり、心臓が見えました。
これでしっかり拡張できるようになりました。

従来の方法よりもはるかに小さい傷で手術することができました。
『傷』が小さく、『痛み』が少ない手術・検査ができます!!
内視鏡外科(低侵襲)を希望のかたは東京どうぶつ低侵襲医療センター・王子ペットクリニックに相談ください。
獣医師、看護師の方の見学受付中
セカンドオピニオンや日常のご相談まで幅広く対応。
飼い主様のニーズに応えるため、当院ではオンライン診療を行っています。
初めての飼い主様には、セカンドオピニオンや受診に迷った際のご相談を、かかりつけの飼い主様には、検査結果や治療・お薬、お世話に関する不安などに対応しています。
登録は無料ですので、ぜひお気軽にご利用ください。
Contact
| 診療時間 | 月 | 火 | 水 | 木 | 金 | 土 | 日 | 祝 |
|---|---|---|---|---|---|---|---|---|
| 9:00~12:00 通常診療 |
○ | 予 | ○ | ○ | ○ | ○ | ○ | ○ |
| 12:00~16:00 予約診療・手術 |
○ | 予 | ○ | ○ | ○ | ○ | ○ | ○ |
|
16:00~19:00 通常診療 ※土日は 15:30~18:00 |
○ | 予 | ○ | 猫 | ○ | ○ | ○ | ○ |
【獣医師指名について】
AM 11:30まで
PM 18:00まで