【診療科目】>カテーテル治療(IVR)> 血管プラグ塞栓術
肝内門脈シャントの精査を目的にCT検査を実施しました。検査の結果、右外側肝葉において肝内門脈から体循環へのシャントが確認され、後大静脈へ流入する血管が約5本(うち1本は太く、残りの4本は細い)存在することが判明しました。 また、右外側肝葉への血流が非常に豊富である一方、他の肝葉への門脈血流は細いことが確認されました。そのため、右外側肝葉切除を行った場合には術後に門脈圧亢進を生じる可能性が高いと判断されました。 これらの所見を踏まえ、段階的な肝内門脈シャント閉鎖を目的とした血管プラグ塞栓術を希望され、施術する運びとなりました。

手術前のCT検査での評価

手術前のCT検査での評価

手術前のCT検査での評価

手術前のCT検査での評価

手術中の様子:セルジンガー法

手術中の様子:カテーテル設置後

手術中の様子

カテーテルでのシャント血管の造影検査

プラグ塞栓後の造影検査

プラグ塞栓後の造影検査

術後の傷口の写真

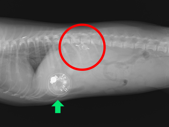
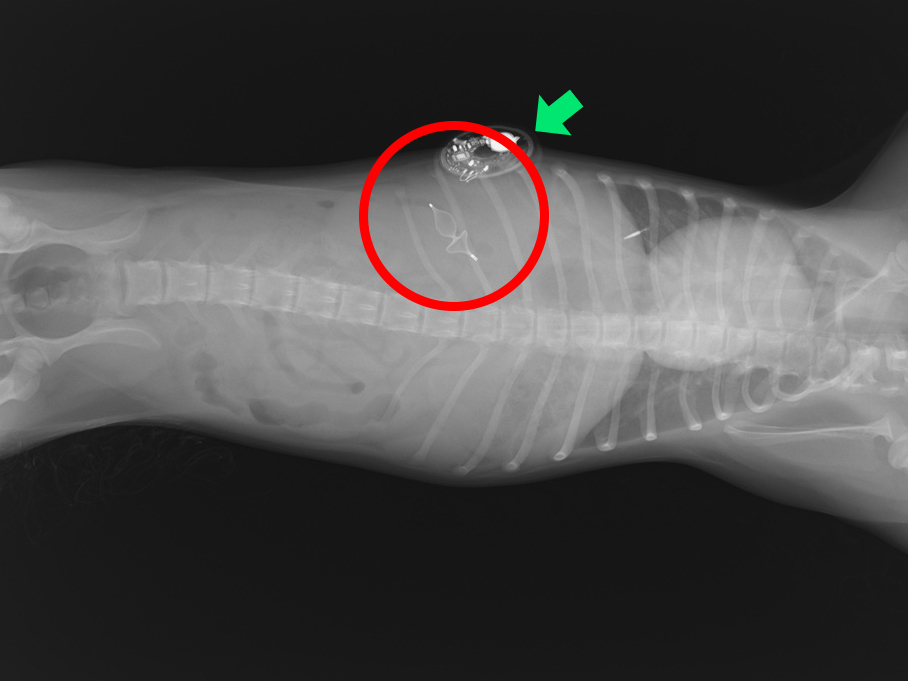
術後のレントゲン画像(赤丸がプラグ、緑矢印は血糖値の測定装置)

術後のレントゲン画像(赤丸がプラグ、緑矢印は血糖値の測定装置)
『傷』が小さく、『痛み』が少ない手術・検査ができます!!
内視鏡外科(低侵襲)を希望のかたは東京どうぶつ低侵襲医療センター・王子ペットクリニックに相談ください。
獣医師、看護師の方の見学受付中
セカンドオピニオンや日常のご相談まで幅広く対応。
飼い主様のニーズに応えるため、当院ではオンライン診療を行っています。
初めての飼い主様には、セカンドオピニオンや受診に迷った際のご相談を、かかりつけの飼い主様には、検査結果や治療・お薬、お世話に関する不安などに対応しています。
登録は無料ですので、ぜひお気軽にご利用ください。
Contact
| 診療時間 | 月 | 火 | 水 | 木 | 金 | 土 | 日 | 祝 |
|---|---|---|---|---|---|---|---|---|
| 9:00~12:00 通常診療 |
○ | 予 | ○ | ○ | ○ | ○ | ○ | ○ |
| 12:00~16:00 予約診療・手術 |
○ | 予 | ○ | ○ | ○ | ○ | ○ | ○ |
|
16:00~19:00 通常診療 ※土日は 15:30~18:00 |
○ | 予 | ○ | 猫 | ○ | ○ | ○ | ○ |
【獣医師指名について】
AM 11:30まで
PM 18:00まで