胸腔鏡下心膜切除術は、開胸せずにカメラと専用の器具を使って、心臓を包んでいる「心膜」の一部を切除する手術です。 従来の開胸手術と比べて、傷口が小さく、痛みや体への負担が少ないことが大きなメリットです。 この手術は、心嚢と心臓の間に液体がたまってしまう「心嚢水貯留」や、「心膜炎」などの疾患に対して行われ、心臓の圧迫を取り除くことで症状の改善を目指します。
以下のような症状がある場合、検査の結果によって心膜疾患が疑われることがあります。
これらの症状が見られた場合、心膜疾患の可能性を考慮し、精密検査や必要に応じて手術が提案されることがあります。
当院では、最新の胸腔鏡設備を用いて、より安全で負担の少ない手術を提供しています。 心膜切除術においても、動物の状態に応じて適切な手術計画を立て、術後の痛み管理や入院期間の短縮に配慮しています。 実際に胸腔鏡下での心膜切除術を行った症例では、術後の回復も非常に良好で、早期の退院・日常生活への復帰が可能となっています。
心臓や呼吸に関わる病気は、気づきにくく進行してしまうこともあります。 「なんとなく元気がない」「呼吸が浅い・早い気がする」といった小さな変化が、大切なサインであることもあります。 心膜疾患や、胸腔鏡下手術について気になることがありましたら、どうぞお気軽にご相談ください。
ある日、ワンちゃんが急に呼吸が早く苦しそうになり、立ち上がることもできなくなったとのことで、当院を受診されました。
すぐに超音波検査を行ったところ、心臓の周囲に多量の液体(心嚢水)がたまっている状態(心嚢水貯留)が確認されました。
このままでは心臓が圧迫されてしまい、命に関わる可能性があるため、原因の特定と治療のために、CT検査および胸腔鏡下での心膜切除術を実施しました。
また、術後の呼吸管理のために胸腔ドレーン(管)を設置し、慎重に経過を観察しました。
処置後は呼吸状態が安定し、術後2日目には元気に退院することができました。
手術時に回収した心嚢水と心膜組織の病理検査の結果から、「悪性中皮腫の疑い」という診断が得られました。
現在は、呼吸状態も落ち着いており、次のステップとして抗がん剤治療などの選択肢についてご家族と一緒に検討を進めています。


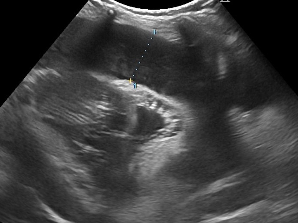
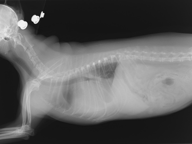
手術前の心臓のエコー画像・レントゲン画像・貯留した心嚢水により心臓が圧排されている。


術中の様子。

術中のカメラ映像。超音波凝固切開装置を用いて心膜を処理しているすぐ下に動く心臓がある。

切除した心膜

傷口の様子。心膜が切除され心嚢水が胸腔に溜まるようになることが予想されるため胸腔ドレーンの設置

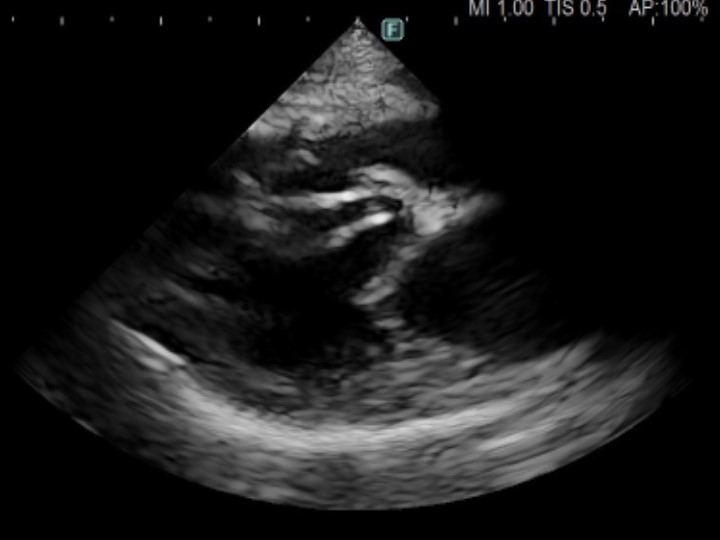
術後の心臓のエコー画像。心嚢水による圧排が解除されて正常な動きが可能になった。
『傷』が小さく、『痛み』が少ない手術・検査ができます!!
内視鏡外科(低侵襲)を希望のかたは東京どうぶつ低侵襲医療センター・王子ペットクリニックに相談ください。
獣医師、看護師の方の見学受付中
セカンドオピニオンや日常のご相談まで幅広く対応。
飼い主様のニーズに応えるため、当院ではオンライン診療を行っています。
初めての飼い主様には、セカンドオピニオンや受診に迷った際のご相談を、かかりつけの飼い主様には、検査結果や治療・お薬、お世話に関する不安などに対応しています。
登録は無料ですので、ぜひお気軽にご利用ください。
Contact
| 診療時間 | 月 | 火 | 水 | 木 | 金 | 土 | 日 | 祝 |
|---|---|---|---|---|---|---|---|---|
| 9:00~12:00 通常診療 |
○ | 予 | ○ | ○ | ○ | ○ | ○ | ○ |
| 12:00~16:00 予約診療・手術 |
○ | 予 | ○ | ○ | ○ | ○ | ○ | ○ |
|
16:00~19:00 通常診療 ※土日は 15:30~18:00 |
○ | 予 | ○ | 猫 | ○ | ○ | ○ | ○ |
【獣医師指名について】
AM 11:30まで
PM 18:00まで