最も多い腹腔鏡検査は、「肝臓」、「腎臓」、「膵臓」、「腫瘍」、などの生検(バイオプシー)です。
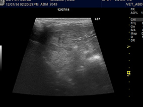
半年前から肝酵素の上昇が見られており、徐々に食欲が落ちてきたワンちゃんの肝臓の超音波所見です。

肝臓が全体的に粗雑になっており、滑らかさがなくなっていました。高齢なのでお腹を開けての肝臓のバイオプシーは負担がかかってしまう、負担をなるべく軽くしてあげたい、との飼い主様のご希望で当院の腹腔鏡下肝バイオプシーを実施しました。

上の写真のようにトロッカーを挿入しカメラを挿入すると、右のように肝臓は瀰漫性に変色していました。 もうひとつトロッカーを挿入し、バイオプシー鉗子にて採材しました。 また肝硬変の可能性があったため、経脾的門脈造影も行ない、Cアームにて確認、異常がないことも確認致しました。

もちろん傷口も…

低侵襲です!
この子は『軽度肝硬変』と診断され、適切な内科療法により、元気に過ごしています。

黄疸が認められ、血液検査で肝臓の数値が高かったため肝臓のバイオプシー検査を行いました。
体の小さなフェレットさんでも腹腔鏡検査は可能です。

お腹の中もしっかりと見ることができます。

細い器具を使うため傷口も小さく、検査当日に退院できます。

手術一週間後の傷口の様子です。傷痕はわずか数ミリです。

1歳の時に腎孟腎炎を発症した猫さんです。
治療後、状態は改善しましたが、血液検査では腎臓の数値が持続して高いため、腎臓の生検を行いました。

お腹の中を見ながら目的の腎臓の近くに生検用の針を刺します。


腎臓に針を刺して組織を採取します。

生検した腎臓の組織です。
『傷』が小さく、『痛み』が少ない手術・検査ができます!!
内視鏡外科(低侵襲)を希望のかたは東京どうぶつ低侵襲医療センター・王子ペットクリニックに相談ください。
獣医師、看護師の方の見学受付中
セカンドオピニオンや日常のご相談まで幅広く対応。
飼い主様のニーズに応えるため、当院ではオンライン診療を行っています。
初めての飼い主様には、セカンドオピニオンや受診に迷った際のご相談を、かかりつけの飼い主様には、検査結果や治療・お薬、お世話に関する不安などに対応しています。
登録は無料ですので、ぜひお気軽にご利用ください。
Contact
| 診療時間 | 月 | 火 | 水 | 木 | 金 | 土 | 日 | 祝 |
|---|---|---|---|---|---|---|---|---|
| 9:00~12:00 通常診療 |
○ | 予 | ○ | ○ | ○ | ○ | ○ | ○ |
| 12:00~16:00 予約診療・手術 |
○ | 予 | ○ | ○ | ○ | ○ | ○ | ○ |
|
16:00~19:00 通常診療 ※土日は 15:30~18:00 |
○ | 予 | ○ | 猫 | ○ | ○ | ○ | ○ |
【獣医師指名について】
AM 11:30まで
PM 18:00まで