【診療科目】>カテーテル治療(IVR)> 肝臓腫瘤に対する肝動脈塞栓術
他院にて肝酵素の上昇および肝臓の結節性病変を指摘され、精査および治療のため当院に紹介来院となりました。右肝区域(W39 x L45 x H30mm)、尾状葉乳頭突起(W11 x L16 x H13mm)、内側左葉吻側領域、内側/外側左葉では、結節/腫瘤様の所見を複数認められ最大は外側左葉領域に40mm大の腫瘤が認められました。 本症例は、肝臓内の複数箇所に腫瘤性病変を有し、かつ高齢であることから、全身状態への負担を考慮し、右側および左側に対して2回に分けて肝動脈塞栓術を実施する方針としました。初回の処置として、右肝区域の腫瘤に対する動脈塞栓術を実施し、術後は大きな合併症もなく経過し、術後2日目に退院となりました。

手術前のCT検査での評価

手術前のCT検査での評価

手術前のCT検査での評価

手術前のCT検査での評価

手術中の様子

手術中の様子

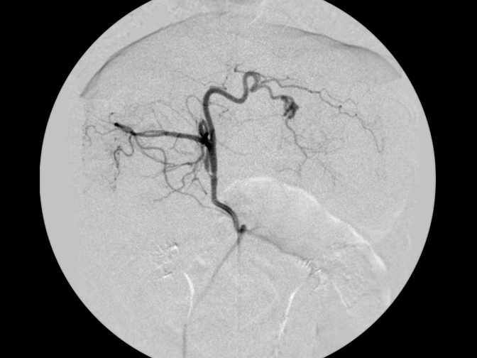
カテーテルでの造影検査

カテーテルでの造影検査

造影での腫瘍の評価

腫瘍塞栓後の造影検査

術後の止血している様子
『傷』が小さく、『痛み』が少ない手術・検査ができます!!
内視鏡外科(低侵襲)を希望のかたは東京どうぶつ低侵襲医療センター・王子ペットクリニックに相談ください。
獣医師、看護師の方の見学受付中
セカンドオピニオンや日常のご相談まで幅広く対応。
飼い主様のニーズに応えるため、当院ではオンライン診療を行っています。
初めての飼い主様には、セカンドオピニオンや受診に迷った際のご相談を、かかりつけの飼い主様には、検査結果や治療・お薬、お世話に関する不安などに対応しています。
登録は無料ですので、ぜひお気軽にご利用ください。
Contact
| 診療時間 | 月 | 火 | 水 | 木 | 金 | 土 | 日 | 祝 |
|---|---|---|---|---|---|---|---|---|
| 9:00~12:00 通常診療 |
○ | 予 | ○ | ○ | ○ | ○ | ○ | ○ |
| 12:00~16:00 予約診療・手術 |
○ | 予 | ○ | ○ | ○ | ○ | ○ | ○ |
|
16:00~19:00 通常診療 ※土日は 15:30~18:00 |
○ | 予 | ○ | 猫 | ○ | ○ | ○ | ○ |
【獣医師指名について】
AM 11:30まで
PM 18:00まで