内視鏡用トロッカー(筒)を用いて腹筋と膀胱に穴を開けて、
カテーテルから流水を流すことによって膀胱内の結石を洗い流す手術です。
基本的には当日退院することができます。
| メリット | デメリット |
|---|---|
|
|
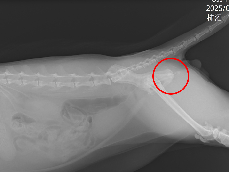
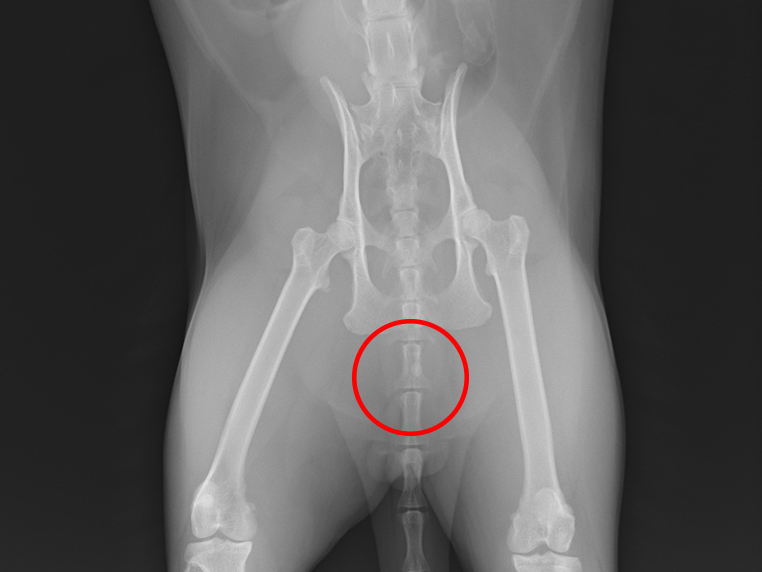
1ヶ月ほど前から血尿やトイレが近くなる症状があったため、当院を受診されました。
レントゲン検査を行ったところ、尿道の中にたくさんの結石が見つかりました。そこで、麻酔をかけて結石を膀胱の中に戻し、内視鏡を使った腹腔鏡手術で膀胱の結石を取り除く治療を行いました。
手術は無事に終わり、体調も良好だったため、当日に退院することができました。その後、結石の再発もなく元気に過ごしています。


レントゲン画像にて尿道の結石の個数を確認


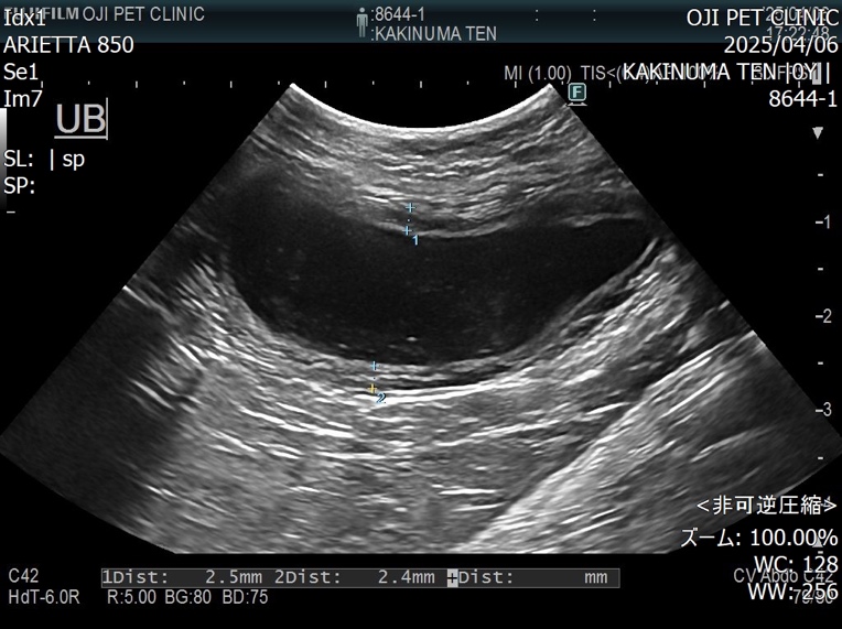
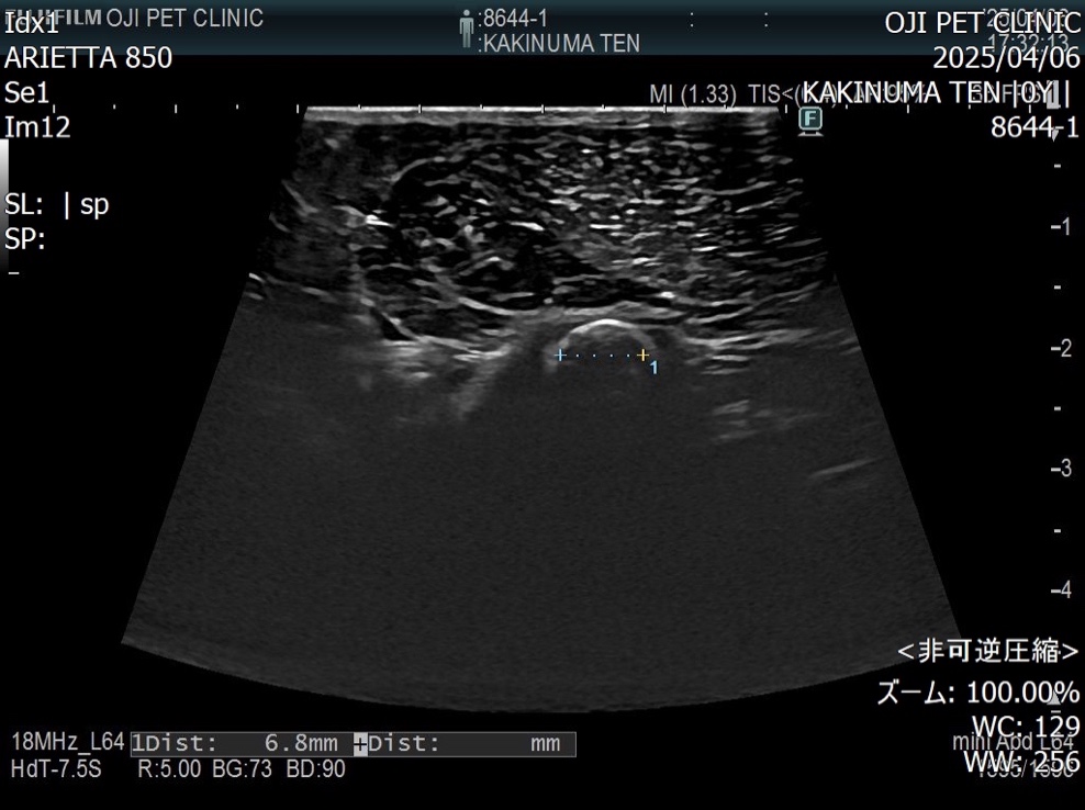
超音波検査にて膀胱内には結石が認められないことを確認


1cm程度の切開を加え糸で膀胱を釣り上げてからカメラを入れる筒を入れる様子
手術の全体像


尿道内の石を確認しカテーテルで膀胱内に押し戻した様子



摘出した結石

内視鏡カメラにて石の取り残しがないことを確認

傷口の写真
膀胱内に多数の結石があり、膀胱炎を繰り返していたわんちゃんです。
内科療法で結石を溶かすことができず、手術を行うことになりました。


腹腔鏡でお腹の中を見ながら、膀胱の直上に小さな穴をあけて一度膀胱をお腹に縫合します。
膀胱に小さな穴をあけ、そこから3mmのカメラを挿入し膀胱内の結石を確認します。

膀胱内をカメラで観察しながら結石を鉗子でつかんでひとつずつ摘出します。

取り出した結石です。全部で13個の結石を摘出しました。
術後の傷口も小さく、翌日には元気にお家へ帰っていきました。
『傷』が小さく、『痛み』が少ない手術・検査ができます!!
内視鏡外科(低侵襲)を希望のかたは東京どうぶつ低侵襲医療センター・王子ペットクリニックに相談ください。
獣医師、看護師の方の見学受付中
セカンドオピニオンや日常のご相談まで幅広く対応。
飼い主様のニーズに応えるため、当院ではオンライン診療を行っています。
初めての飼い主様には、セカンドオピニオンや受診に迷った際のご相談を、かかりつけの飼い主様には、検査結果や治療・お薬、お世話に関する不安などに対応しています。
登録は無料ですので、ぜひお気軽にご利用ください。
Contact
| 診療時間 | 月 | 火 | 水 | 木 | 金 | 土 | 日 | 祝 |
|---|---|---|---|---|---|---|---|---|
| 9:00~12:00 通常診療 |
○ | 予 | ○ | ○ | ○ | ○ | ○ | ○ |
| 12:00~16:00 予約診療・手術 |
○ | 予 | ○ | ○ | ○ | ○ | ○ | ○ |
|
16:00~19:00 通常診療 ※土日は 15:30~18:00 |
○ | 予 | ○ | 猫 | ○ | ○ | ○ | ○ |
【獣医師指名について】
AM 11:30まで
PM 18:00まで